Xerostomia
Dry mouth is also known as xerostomia.

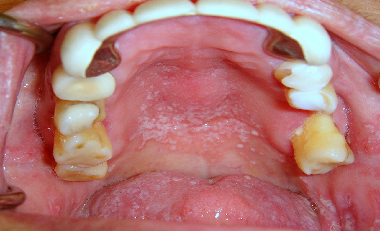
Xerostomia. Dry mouth is often due to the side effect of certain medications or aging issues or as a result of radiation therapy for cancer. Xerostomia is a common problem. We all get a dry mouth sometimes when we are. Dry mouth xerostomia refers to a condition in which the salivary glands in your mouth dont make enough saliva to keep your mouth wet.
Extreme dry mouth and salivary gland dysfunction can produce significant anxiety permanent mouth and throat disorders and can impair a persons quality of life. Dry mouth also known as xerostomia occurs when salivary glands dont make sufficient saliva to prevent the drying of the mouth. Dry mouth or xerostomia zeer o stoe me uh refers to a condition in which the salivary glands in your mouth dont make enough saliva to keep your mouth wet. Dry mouth can be a symptom or side effect of other conditions and.
It can also cause. Dry mouth is also called xerostomia. Xerostomia is not a disease but it may be a symptom of various medical conditions a side effect of a radiation to the head and neck or a side effect of a wide variety of medications. Xerostomia is defined as dry mouth resulting from reduced or absent saliva flow.
Diagnosis of xerostomia and salivary gland hypofunction is dependent upon a careful and detailed history and thorough oral examination. The term is derived from the greek words xhros xeros meaning dry and stoma stoma meaning moutha drug or substance that increases the rate of salivary flow is termed a sialogogue. It occurs when salivary glands in your mouth dont produce enough saliva. Xerostomia is the subjective sensation of dry mouth which is often but not always associated with hypofunction of the salivary glands.
Xerostomia can make it difficult to speak eat and digest food and can lead to malnutrition. Xerostomia the subjective complaint of dry mouth and hyposalivation remain a significant burden for many individuals. Review the latest covid 19 resources and research advancements. It may or may not be associated with decreased salivary gland function.
How common is dry mouth.





























































































